theOptom Gallery
Optometry discussion forum - empowering the professional.
Home
Login
Album list
Last uploads
Last comments
Most viewed
Top rated
My Favorites
Search
Home
>
Anterior Eye Photos
FILE 50/100
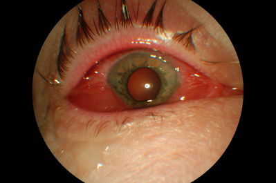
Conjunctival Chemosis acute bilateral presentation
kowa non-myd 7
File information
Filename:
ID13969-20014.jpg
Album name:
Sunglass Queen
/
Anterior Eye Photos
Filesize:
237 KiB
Date added:
Jun 19, 2012
Dimensions:
2047 x 1361 pixels
Displayed:
382 times
URL:
https://theoptom.com/gallery/displayimage.php?pid=176
Favorites:
Add to Favorites